Pixa
A highly detailed and enhanced 16:9 MRI scan of a human brain, showing specific regions illuminated with a vibrant color gradient to indicate high contrast and signal intensity.

AI-Powered MRI Contrast Enhancement

Improve the clarity of MRI scans with AI. Enhance contrast to sharpen anatomical details and improve the definition of pathological findings.
Easy to use - just write a prompt
Trusted by 70 million people
Powered by Pixa AI Agent
171,800 Reviews

How to Enhance Your MRI Scan

  1. 1

    Upload your MRI scan

    Begin by uploading your de-identified MRI scan. The tool supports standard image formats like PNG and JPG.

  2. 2

    Enter your enhancement prompt

    Provide a simple text instruction describing what you want to enhance. For example, 'Sharpen the details of the post-contrast T1 brain scan'.

  3. 3

    Generate the enhanced image

    The AI will analyze your scan and prompt to generate a new image with improved contrast and clarity in just a few seconds.

  4. 4

    Download your enhanced scan

    Your high-resolution, enhanced MRI image is ready for download. Use it for presentations, research, or to support your analysis.

Our AI tool sharpens the details that matter most in medical imaging. By enhancing the contrast of MRI scans, it helps to better delineate the boundaries of tumors, define the extent of inflammatory processes, or clarify subtle tissue variations. This improved visual clarity can support radiologists and clinicians in making more confident diagnostic assessments. The technology works to amplify key features within the image, turning ambiguous scans into more definitive studies. Upload your scan to see how AI can help refine your interpretation and analysis.

Improve Diagnostic Clarity and Confidence

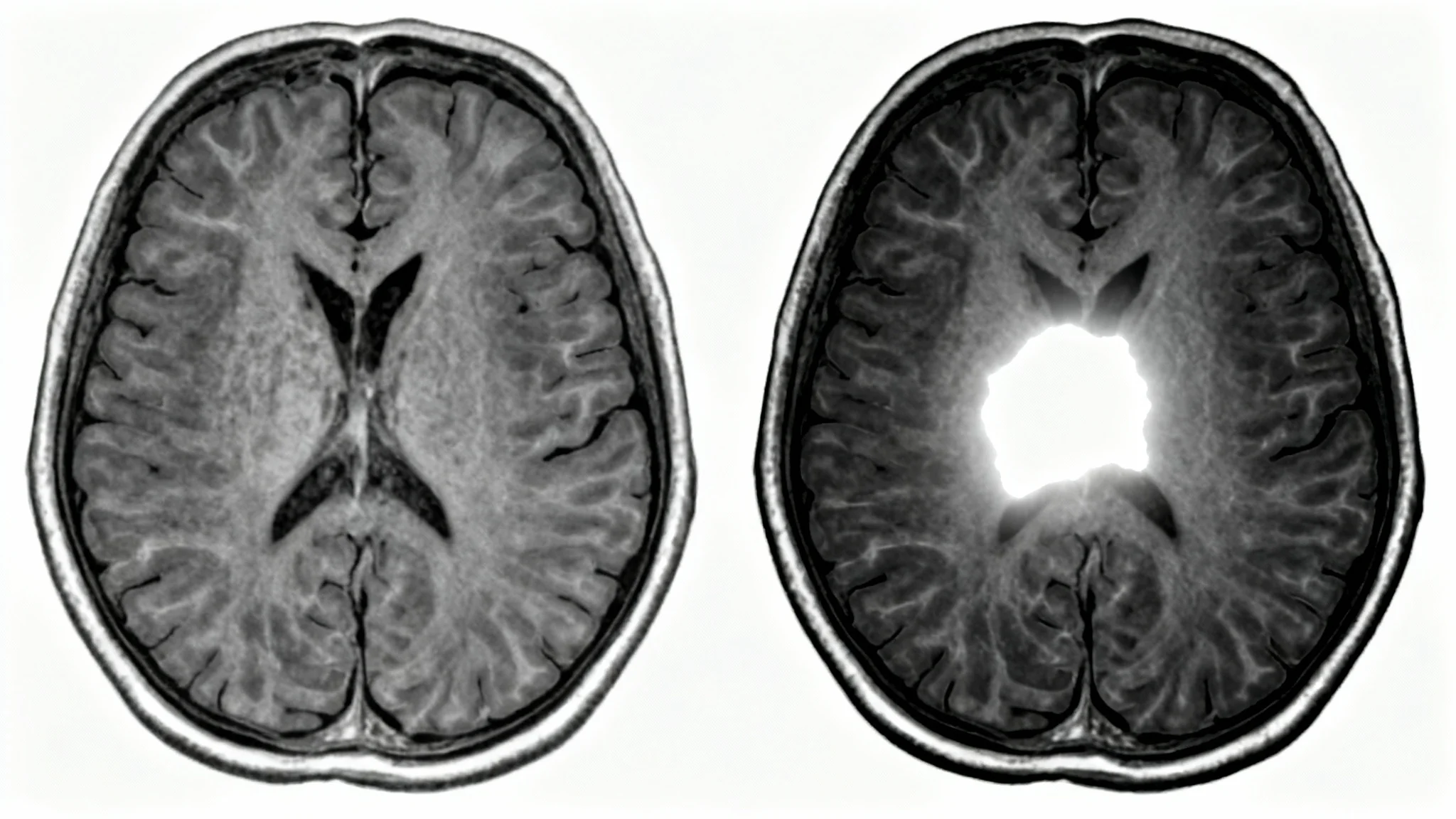
A side-by-side comparison of an MRI brain scan. The left image is a standard, low-contrast scan. The right image is a high-contrast, enhanced version, showing sharp details and highlighted areas, illustrating the effect of MRI contrast enhancement.
Reduce the time spent on manual image adjustments and post-processing. Pixelcut’s AI agent streamlines the enhancement process, delivering a high-quality, contrast-enhanced scan in moments. This efficiency allows medical professionals to focus more on analysis and reporting rather than on image manipulation. By automating a key step in the imaging pipeline, our tool helps accelerate the entire diagnostic workflow, from scan acquisition to final report, enabling faster delivery of crucial information.

Accelerate Your Analysis Workflow

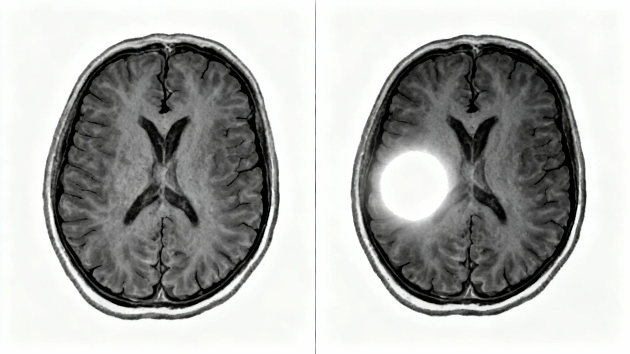
A side-by-side comparison of a human brain MRI scan. The left image is a standard grayscale scan, while the right image shows the same scan with contrast enhancement, making a tumor brightly visible and sharply defined.
Remove the variability that comes with manual adjustments. Our AI applies a consistent enhancement protocol every time, ensuring that results are standardized and reproducible. This is especially valuable for longitudinal studies where tracking disease progression requires reliable, comparable images over time. The algorithm is trained to recognize and enhance pathological features with precision, providing a dependable level of quality that helps standardize image interpretation across different scans and patients.

Achieve Consistent and Standardized Image Quality

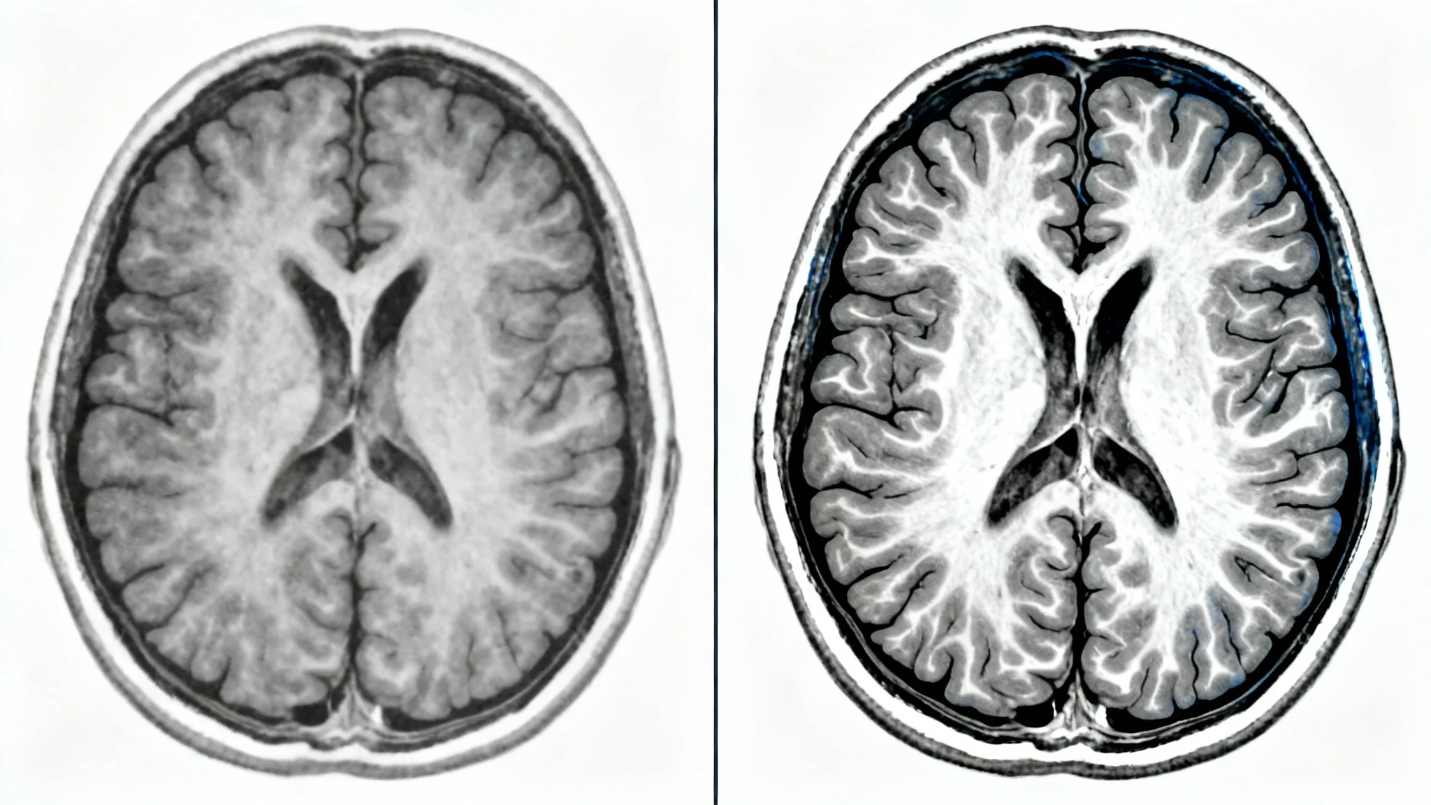
A side-by-side comparison of a human brain MRI. The 'before' image on the left is low-contrast and indistinct, while the 'after' image on the right is sharp and clear, illustrating the effect of contrast enhancement technology.
It's Fast: Go from a raw scan to an enhanced, analysis-ready image in seconds. It’s Precise: AI algorithms are trained to identify and enhance medically relevant features with high accuracy. It's Simple: No complex software to install. Just upload your scan, enter a simple prompt, and generate. It's an Assistant: The tool acts as a powerful assistant for radiologists and researchers, helping to highlight areas of interest and improve workflow efficiency. It’s Versatile: Use it to enhance a wide range of MRI scans for various clinical and research applications.

Why use Pixelcut's AI MRI Contrast Enhancement?

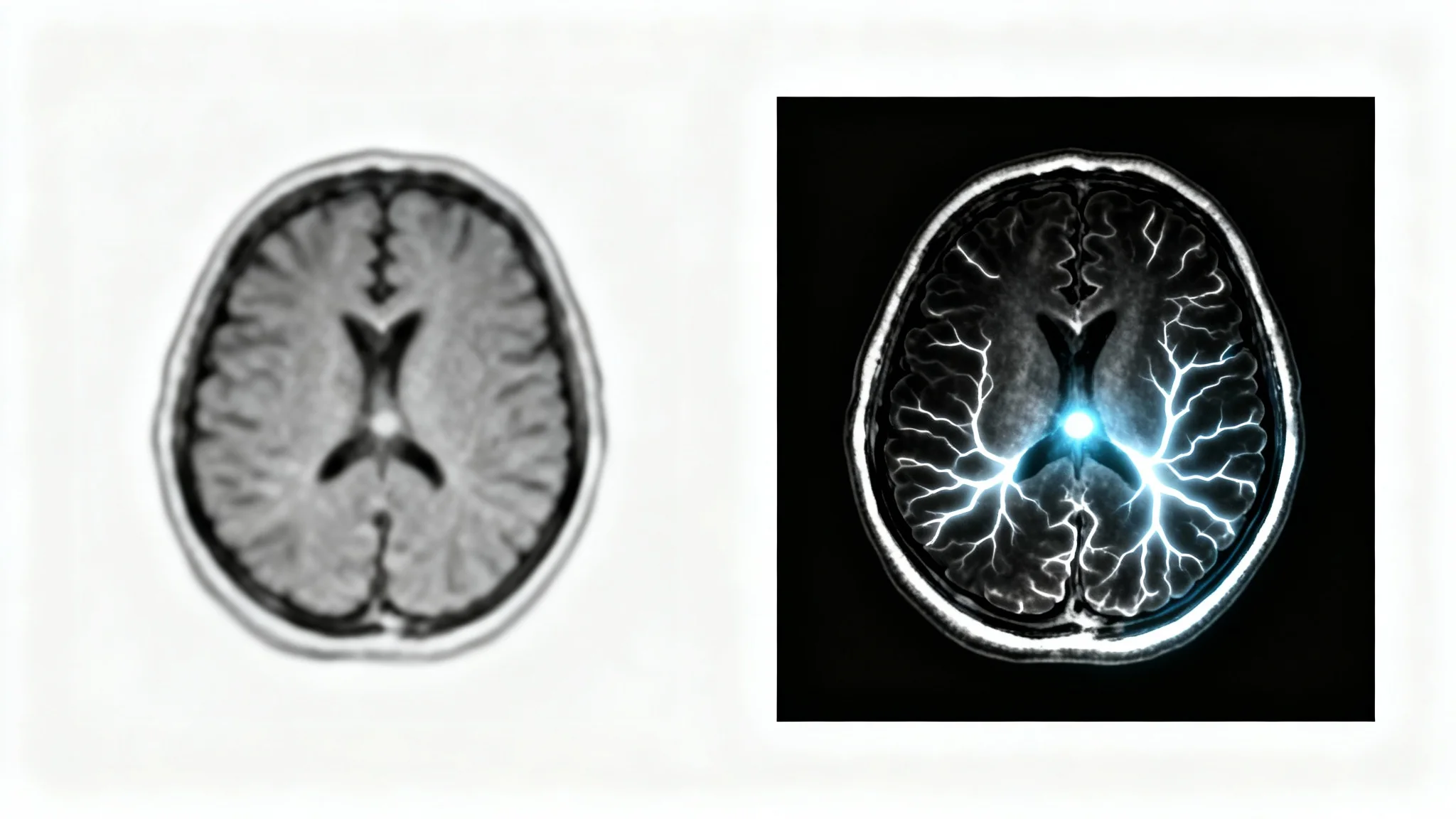
A side-by-side comparison of two MRI brain scans. The left scan is a standard grayscale image, while the right scan shows the same view with contrast enhancement, making a specific lesion glow brightly.
Neuro-Oncology: Improve the visualization of brain tumors to better assess their boundaries, internal structure, and relationship to adjacent tissues. Musculoskeletal (MSK) Imaging: Enhance the visibility of inflammation in joints, soft tissue lesions, and subtle bone marrow abnormalities. Cardiovascular MRI: Sharpen the delineation of myocardial tissue to aid in the assessment of viability and scarring. Oncological Imaging: Assist in the characterization of lesions in organs like the liver or kidneys by clarifying enhancement patterns. Clinical Research: Generate consistently enhanced images for quantitative analysis in research studies.

MRI Contrast Enhancement Use Cases

A split image comparing two MRI brain scans. The left side is a standard, low-contrast scan, and the right side is a high-contrast enhanced scan, showing significantly more detail and clarity.

Frequently Asked Questions

Pixa is loved by over 2 million people

  • My favorite app

    Great app, easy to use. Helps our small business save time and money to create different marketing materials professionally. Thank you.
    Shaelyn D.
  • Best background remover

    I need a good background remover for my work and I've been through them all it feels like. This one is the best by far. It's so easy to use and the results always look amazing. Thank you Pixa!
    Kira H.
  • Love it

    It's amazingly easy and gives the perfect results for my bags and accessories. It looks like it was done by a professional photographer.
    Mary J.